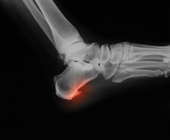
Heel Pain and Plantar Fasciitis
Plantar fasciitis is an inflammation of the plantar fascia of the foot and may be located at insertion into the calcaneus (heel bone) or under the arch.
This may be due to chronic (long term) repetitive stress or an acute injury which may lead to a partial rupture. If it is due to an acute injury there will be signs of bruising.
●Causes may include:
- -poor biomechanics
- -overuse
- -Sever’s Disease
- -Achilles tendonitis
- -Tight gastrocnemius (calf muscles)
- -Excessive pronation (inward rolling of the feet)
- -Hypermobility (excessive movement within the feet; weak/lax ligaments)
- -Unsuitable footwear
- -Flat feet
- -High arched feet.
- -Tight plantar fasciitis

●Treatment may include:
- -Taping/strapping
- -Footwear advice
- -Stretching and strengthening exercises
- -Referral for X-Ray, ultrasound
- -Massage therapy may be advised
- -Orthotics, ………

Andrew works closely with Sports Physiotherapists, Myotherapists and Remedial Sports Massage Therapists in order to provide you with the best outcomes.
All Radiological investigations are referred to an X-Ray dept that Bulk bills.
X-Ray dept available on ground floor for your convenience.
